Case 1


Case Details

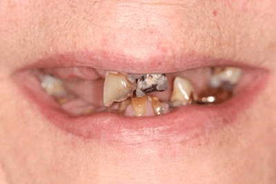
Here is a picture as the patient presented. We determined together that it was in his best interest to move to an implant retained bar over-denture.

Teeth were removed and implants were placed and a bar was fitted to splint the implants for the upper jaw.

Delivery Day! Note the shape of the denture – no coverage on the roof of the mouth. This allows for less speech impairment and allows you to taste foods the same.

This is what the inside surface of a removable implant retained denture looks like – the side that connects to the bar.

This is a retracted lip view meaning we pulled the lip away just to see how it fits against the gums.

The final product!
Case 2


Case Details

This was a case where the patient came to me with a full upper plate that she couldn’t get to stay in. We thought we would start with two implants and two locators. When it was time to convert the denture from traditional tissue-supported to implant-supported, we were able to cut out most the palate. She was thrilled that she got better retention on her denture, and exposed her palate at the same time! Some time after, she returned with a question about more stability. We added two more implants and the denture became quite a bit more stable. Asked about if the additional implants were worth it? "Absolutely!"
Case 3


Case Details

All the way there.
Case 4




Case 5


Case 6


Case 7


Case 8


Case 9




Case 10


Case 11


Case Details

Half way there!



The final product!
Case 12


Case 13

